Oʻpka saratoni — oʻpka toʻqimalarida xavfli va xavfsiz hujayralar oʻsishi bilan tavsiflanadigan oʻpka kasalligi hisoblanadi. Oʻpka saratoni bronx epiteliysining metaplaziyaga uchrab, yassi shaklga aylangan xujayralardan paydo boʻladi. Oʻsma koʻproq, oʻng oʻpka va uning yuqori boʻlaklarida uchratish mumkin. Bosh va segmentar bronxlardan chiqadigan xavfli oʻsmalar markaziy saraton, mayda segmentar bronxlar va bronxiolalardan chiqadigan oʻsmalar sirtqi periferik saraton deb ataladi. Oʻpka saratonining 60% ini markaziy, 40%i sirtqi shakllaridagi uchraydi. Vaqt oʻtishi bu xavfli hujayralar oʻzidan koʻpayishi kengayishi, gematogen yoʻl bilan qon orqali — yaqin atrofdagi toʻqimalarga yoki tananing boshqa, uzoqroq qismlariga metastaz berishi mumkin. Birlamchi oʻpka saratoni deb nomlanuvchi oʻpka ichidan kelib chiqadigan saratonlarning aksariyati karsinomalar hisoblanadi. Ikki asosiy tur — kichik hujayrali o'pka karsinomasi (NSCLC) va katta hujayrali oʻpka karsinomalari (KHDAK) farqlanadi. Eng koʻp uchraydigan saraton alomatlari bu — yoʻtal (qonli yoʻtal), ozib ketish, nafas qisilishi va koʻkrak qafasidagi ogʻriqlar hisobalanadi. Oʻpka saratoni holatlari kelib chiqishining katta qismi (85%) uzoq muddatli tamaki chekish bilan bogʻliq. Saratonning 10-15% holatlari hech qachon chekmagan odamlarda uchragani kuzatilgan. Bunday holatlar koʻpincha genetik omillar kombinatsiyasi yoki havo ifloslanishining shakllari taʼsirida yuzaga keladi. Oʻpka saratoni koʻkrak qafasi rentgenogrammasida va kompyuter tomografiyasida (KT) aniqlanishi mumkin. Tashxis odatda bronxoskopiya yoki KT xulosasi bilan amalga oshiriladigan biopsiyada tasdiqlanadi. Kasallikni oldini olishning asosiy usuli xavf omillaridan biri hisoblanmish chekishdan voz kechish. Saratonni davolash natijalari: saraton turiga, bosqichiga (tarqalish darajasi) va insonning umumiy holatiga bogʻliq. Aksariyat hollarda kasallikni davolash imkonsiz. Umumiy davolash usullariga jarrohlik yoʻli bilan davolash, kimyoterapiya va radioterapiyani kiradi. 2020-yilda butun dunyo boʻylab oʻpka saratoni 2,2 million kishida aniqlangan boʻlsa ulardan 1,8 million kishi bu kasallik tufayli vafot etgan. Bu erkaklar va ayollarda saraton bilan bogʻliq oʻlimning eng keng tarqalgan turi hisoblanadi. Oʻpka saratoni tashxisi qoʻyilganlarning oʻrtacha yoshi 71 yoshni tashkil qiladi. Koʻpgina mamlakatlarda saraton tashxisi qoʻyilgandan keyin taxminan 10-20% odamlargina 5 yildan ortiq umr koʻrishgan. Bu koʻrsatkich rivojlanayotgan mamlakatlarda yana yomonroq holatda.
| O'pka saratoni | |
|---|---|
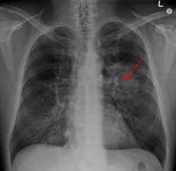
![]() Ko'krak qafasi rentgenogrammasi o'pkada o'sma aniqlangan | |
| KXK-10 | C33-C34 |
| KXK-9 | 162 |
| DiseasesDB | [1] |
| MedlinePlus | 007194 |
Simptomlari
.
Oʻpka saratoni endi rivojlanayotgan vaqtda koʻpincha hech qanday belgilar koʻzga tashlanmyadi. Kasallik rivojlanishi bilan nafas olish muammolari: yoʻtal, nafas qisishi va koʻkrak sohasida ogʻriqlar boshlanadi, ammo bu belgilar hammada ham bir kuzatilmaydi. Yoʻtal paydo boʻlganda bemorlar, bu yoʻtalning oldingi boshidan oʻtkazgan yoʻtallariga nisbatan kuchli va ogʻriqli boʻlayotganidan shikoyat qilishadi. Taxminan har toʻrt bemordan birida yoʻtal bilan birga qon ajralmalari chiqadi. Oʻpka saratoni tashxisi qoʻyilganlarning qariyb yarmi nafas qisishi, 25-50 foizi esa doimiy koʻkrak ogʻrigʻidan shikoyat qilishadi. Baʼzi bemorlarda ishtahaning yoʻqolishi, ozib ketish, holsizlik, isitma va tungi terlash kabi alomatlar kuzatiladi. Bemorlarda kamdan-kam holatlarda shish paydo boʻlishi mumkin. Koʻkrak qafasidagi oʻsmalar traxeyani yopib qo''yishi, diafragma nervini qisib qoʻyish orqali nafas olish muammolariga paydo boʻlishi, qiziloʻngach qisilishi oqibatida yutishda muaommolar paydo boʻlishi, halqum nervlariga taʼsiri oqibatida ovozning xirillashi va simpatik nerv tizimi buzilishi tufayli Gorner sindromi paydo boʻlishi mumkin. Gorner sindromi oʻpkaning yuqori qismiga metastazlanib Pankoast o'smalari deb nomlanadi. Bu holat yelka ogʻrigʻiga sabab boʻladi. Yurakdagi qon oqimiga toʻsqinlik qiladigan oʻsmalar yuqori venada kavasaki sindromini (tananing yuqori qismining shishishi) keltirib chiqarishi mumkin, yurak atrofiga tarqalgan oʻsmalar esa yurak atrofida suyuqlik toʻplanishi, aritmiya (yurakning tartibsiz urishi) va yurak yetishmovchiligiga olib kelishi mumkin. Oʻpka saratoni tashxisi qoʻyilgan har uch kishidan birida saraton markazi hisoblanmish oʻpkadan uzoqda joylashgan aʼzolarda metastazlar paydo boʻladi. Oʻpka saratoni tananing har qanday joyiga metastaz berishi mumkin, metastazlangan joyga qarab turli xil belgilar vujudga kelishi mumkin. Metastaz miya sohasiga oʻtganida bosh ogʻrigʻi, koʻngil aynishi, qusish va nevrologik nuqsonlar paydo boʻlishi mumkin. Suyak metastazlari ogʻriq, suyak sinishi va orqa miya siqilishiga olib kelishi mumkin. Suyak iligidagi metastazlar qon hujayralarini yoʻq qilishi va leykoeritroblastozga (qonda yetilmagan immunitet hujayralari) paydo boʻlishiga olib kelishi mumkin. Jigar metastazlari jigar kattalashishiga, qorinning oʻng yuqor qismida ogʻriq paydo boʻlishiga, isitma va vazn yoʻqotishiga olib kelishi mumkin. Oʻpka oʻsmalari koʻpincha organizmning oʻzgarishiga sabab boʻluvchi gormonlar ishlab chiqarilishiga yoʻl ochadi, bu gormonlar paraneoplastik sindrom deb ataladigan gʻayrioddiy simptomlarni chaqaradi. Gormonlarning ishlab chiqarilishining buzilishi qondagi minerallar kontsentratsiyasining keskin oʻzgarishiga olib kelishi mumkin. Koʻpincha paratireoid gormoni bilan bogʻliq protein yoki paratireoid gormonining haddan tashqari koʻp ishlab chiqarilishi natijasida giperkalsemiya (qon kalsiyining koʻpayib ketishi) vujudga keladi. Giperkalsemiya koʻngil aynishi, qusish, qorin ogʻrigʻi, ich qotishi, tashnalikning kuchayishi, peshobning tez ajralishi va ruhiy holatning tez oʻzgarishiga sabab boʻladi. Oʻpka saratoni bilan ogʻrigan bemorlarda adrenokortikotrop gormonning notoʻgʻri sekretsiyasi tufayli gipokalemiya (qondagi past kaliy miqdori), shuningdek, antidiuretik gormon yoki natriuretik peptidning ortiqcha ishlab chiqarilishi tufayli giponatremiya (past miqdordagi natriy) kuzatiladi. Oʻpka saratoni bilan ogʻrigan uch kishidan bittasida tirnoqlarning tez sinishi kuzatiladi, har oʻntdan birida gipertrofik birlamchi osteoartropatiya kuzatiladi. Oʻpka saratoni bilan ogʻrigan bemorlarda turli xil autoimmun kasalliklar paraneoplastik sindromlar sifatida namoyon boʻladi, shu jumladan Lambert-Eaton miastenik sindromi (mushaklarning kuchsizligini keltirib chiqaradi), hissiy neyropatiyalar, mushaklarning yalligʻlanishi, miya shishi va miyachada oʻzgarishlar paydo boʻladi. Oʻpka saratoni bilan ogʻrigan har oʻn ikki kishidan birida paraneoplastik qon ivishi, shu jumladan venoz tromboflebit va keng tarqalgan intravaskulyar koagulyatsiya uchraydi. Teri va buyraklar bilan bogʻliq paraneoplastik sindromlar kamdan-kam kuzatiladi, bunday holat oʻpka saratoni bilan kasallanganlarning 1% gacha boʻlgan bemorlarda uchraydi.
Diagnoz
| TNM | Darajasi |
|---|---|
| T1a N0 M0 | IA1 |
| T1b N0 M0 | IA2 |
| T1c N0 M0 | IA3 |
| T2a N0 M0 | IB |
| T2b N0 M0 | IIA |
| T1-T2 N1 M0 | IIB |
| T3 N0 M0 | |
| T1-T2 N2 M0 | IIIA |
| T3 N1 M0 | |
| T4 N0-N1 M0 | |
| T1-T2 N3 M0 | IIIB |
| T3-T4 N2 M0 | |
| T3-T4 N3 M0 | IIIC |
| T, N, M1a-M1b | IVA |
| T, N, M1c | IVB |
- Saraton bosqichlari
- IA va IB bosqichdagi oʻpka saratoni
- IIA bosqichdagi oʻpka saratoni
- IIB bosqichdagi oʻpka saratoni
- IIB bosqichdagi oʻpka saratonining tarqalgan turi
- IIIA bosqichdagi oʻpka saratoni
- IIIA bosqichdagi oʻpka saratonining tarqalgan turi
- IIIA bosqichdagi oʻpka saratoni
- IIIB bosqichdagi oʻpka saratoni
- IIIB bosqichdagi oʻpka saratoni
- IV bosqichdagi oʻpka saratoni
Oʻpka saratoniga shubha qilingan bemorlar oʻsmalarning mavjudligini, hajmini va joylashishini aniqlash uchun sinamalar va testlar oʻtkazish zarur. Birinchi navbatda oʻpka ichidagi oʻsma izlash uchun koʻkrak qafasi rentgenogrammasini oʻtkaziladi. Rentgenda oʻsmadan tashqari atelektaz, pnevmoniya aniqlanishi mumkin. Keyinchalik kompyuter tomografiyasi (KT) tekshiruvi oʻtkaziladi, bu tekshiruvda oʻsmalarning oʻlchamlari va joylashuvi aniqlanadi. Oʻpka saratoniga aniq tashxis qoʻyish uchun gumon qilingan toʻqimalarning biopsiyasi, saraton hujayralari uchun gistologik tekshiruv zarur. Oʻpka saratoni oʻsmalarining joylashishini hisobga olgan holda, biopsiyalarni koʻpincha minimal invaziv usullar bilan oʻtkazish mumkin: toʻqimalarni olish mumkin boʻlgan optik tolali bronxoskop (baʼzan endobronxial ultratovush yordamida), nozik igna aspiratsiyasi shular jumlasidan. Odatdagi biopsiya prosedurasini xohlamaganlar uchun suyuq biopsiya (yaʼni baʼzi tana suyuqligi namunasi) olinib tekshirilishi mumkin. KT saraton tarqalishi darajasini baholash uchun ham qoʻllanadi. Koʻpincha tanadagi metastazlarni aniqlash uchun pozitron emissiya tomografiyasi (PET) yoki kombinatsiyalangan PET-KT skaner tekshiruvi qoʻllanadi. PET skanerlash miyada nisbatan kam maʼlumot berganligi sababli, katta oʻsmalar boʻlgan bemorlarda miyani metastazlarni tekshirish uchun magnit-rezonans tomografiya (MRT) tavsiya qilinadi. Tomografiyada nomalum tarqalish aniqlansa uning saraton ekanligini tasdiqlash uchun biopsiya qilinadi. Oʻpka saratoni koʻpincha miya, suyaklar, jigar va buyrak usti bezlariga metastaz beradi. Oʻpka saratoni koʻpincha koʻkrak qafasi rentgenogrammasida oʻpka tuguni koʻrinishida tasvirlanadi. Biroq bu holat nafaqat saratonda boshqa koʻplab kasalliklar, shu jumladan metastatik saraton, gematomalar, gistoplazmoz yoki koksidioidomikozda ham uchraydi.
Klassifikatsiya
Tashxis qoʻyishda oʻpka saratoni oʻsimta hosil boʻlgan hujayralar turiga qarab tasniflanadi. Oʻpka saratonining ikkita asosiy turi mavjud boʻlib, ular gistopatolog tomonidan mikroskop ostida koʻrilgan malignizatsiya hujayralar hajmi va koʻrinishi boʻyicha tasniflanadi. Ular: kichik hujayrali oʻpka saratoni (SCLC; oʻpka saratoni tashxisining 15%) va katta hujayrali oʻpka saratoni (NSCLC; tashxislarning 85% i). SCLC oʻsmalari koʻpincha oʻpka markazida va asosiy nafas yoʻllarida uchraydi. Ularning chegaralari aniq belgilanmagan, sitoplazmasi koʻp emas, mitoxondriyalari koʻp, yadrolari donador koʻrinadigan DNKga ega. NSCLC uchta saraton guruhini oʻz ichiga oladi: adenokarsinoma, skuamoz hujayrali karsinoma va yirik hujayrali karsinoma. Oʻpka saratonining deyarli 40% adenokarsinomalar boʻlib, ular odatda periferik oʻpka toʻqimalaridan kelib chiqadi. Ularning hujayralari uch oʻlchamda oʻsadi, bez hujayralariga oʻxshaydi va mutsin ishlab chiqarishi aniqlangan. Skuamoz hujayrali karsinoma oʻpka saratonining taxminan 30 foizini keltirib chiqaradi. Ular odatda nafar yoʻllariga yaqin joylashgan boʻladi. Oʻsmalar keratin qatlamlari boʻlgan hujayralar iborat. Koʻpincha oʻsimta markazida ichi boʻshliq va oʻlik hujayralarni koʻrish mumkin. Oʻpka saratonining 10% dan kamrogʻi yirik hujayrali karsinomalar tufayli paydo boʻladi. Hujayralari katta, sitoplazma miqdori koʻp, yadrolari yirik va koʻzga koʻrinadiganligi sababli shunday nomlangan. Gistologik tuzilishi jihatidan oʻpka saratoni toʻrt asosiy turga boʻlinadi
- Yassi hujayrali saraton — Asosan markaziy saratonda uchraydi, bemorlarning 40-50% qismini asosan chekuvchi erkaklar tashkil qilishadi.
- Bez hujayrali saraton — Oʻpka saratoni bilan kasallangan bemorlaning 20-30% qismi shu guruhga mansub. Bronx bezlari epiteliysidan oʻsib chiqadi va koʻpincha oʻpkaning sirtqi saratonini tashkil qiladi.
- Mayda hujayrali saraton — 20-25% bemorlarda uchraydi. U bronxlarning endokrin bezlarida paydo boʻlib, chekish bilan chambarchas bogʻliq. Oʻsma koʻpicha yosh va oʻrta yoshdagi insonlarda uchraydi va erta va juda tez rivojlanuvchi metastazlar berishi hamda yomon oqibatlari bilan ajralib turadi.
- Katta hujayrali saraton — Oʻpka saratoni atrof toʻqimalarga bevosita oʻsib kiradi, limfogen va gematogen metastazlar beradi.
TNM tasnifi
Oʻpka saratoni bosqichi — bu saratonning asl manbadan tarqalish darajasini baholash boʻlib, bu oʻpka saratoni prognozi va davolashiga taʼsir qiluvchi asosiy omillardan biridir.
| Belgi | Saraton boʻyicha tasniflanish |
|---|---|
| Tx | Birlamchi oʻsma rentgen va bronxoskopiyalarda aniqlanmaydi, lekin balgʻamda va bronx yuvindisida oʻsma hujayralari topilgan. |
| T0 | Birlamchi oʻsma aniqlammaydi. |
| T is | Oʻsma invaziya bermaydi. |
| T1 | Oʻsma 3smdan kichik oʻpka toʻqimalari va vitseral plevra bilan chegaralanadi, bosh bronx zararlanmaydi. |
| T2 | Oʻsma 3smdan katta yoxud hajmidan qatʼiy nazar oʻpkaning vitseral plevrasiga oʻsib kirgan yoki atelektaz, obstruktiv pnevmoniyaga aylangan, karinadan 2sm uzoqda joylashadi |
| T3 | Oʻsma bevosita koʻkrak devoriga, diafragma, mediastinal plevraga, perikardga oʻsib kirgan boʻladi. |
| T4 | Oʻsma koʻkrak oraligʻi, yurak, katta qon tomirlar, traxeya, qiziloʻngach, umurtqalar va karinaga tarqalgan hamda plevra boʻshligʻida suyuqlik hosil qilgan boʻladi. |
| Nx | Limfa tugunlarida metastaz aniqlanmaydi |
| N0 | Regionar limfa tugunlarida metastaz aniqlanmaydi |
| N1 | Bronx yoki oʻpka ildizi limfa tugunchalari kasallik bor tomonda zararlangan |
| N2 | Koʻks oraligʻining kasallik tomonidagi yoki bifurkatsiyadagi limfa tugunchalari zararlangan |
| N3 | Koʻks oraligʻi yoki oʻpka ildizining qarama-qarshi tomonidagi yoki oʻmrov usti ikkala tomonidagi limfa tugunchalari zararlangan |
| Mx | Uzoq sohada metastazlar aniqlanmaydi |
| M0 | Uzoq sohalarda metastazlar yoʻq |
| M1 | Uzoq sohalarda metastazlar mavjud |
Klinika
- Markaziy saraton — Asosan bemorlarda dastlab quruq, siyrak keyinchalik toʻxtovsiz, qiynaydigan ayniqsa kechalari kuchayadigan yoʻtalga hamda uncha koʻp boʻlmagan koʻpiksimon yoki yiring aralash balgʻam koʻshishi qiynaydi. Baʼzi bemorlarning balgʻami qon aralash tushadi. Koʻp qism bemorlarda oʻsma plevra va nervga oʻsib kirganligi tufayli toʻxtovsiz ogʻriqlar paydo boʻladi.
- Sirtqi saraton —Uzoq vaqtgacha saraton belgilari namoyon boʻlmaydi. Faqatgina oʻsma yonidagi toʻqima va aʼzolarga oʻsib kirganda klinik belgilardan — avvalo koʻkrak qafasida ogʻrik va xarsillash paydo boʻladi. Oʻgʻriq 20—50% bemorda kasallangan oʻpka tomonda boʻlib, bu oʻsmaning plevra yoki koʻkrak devoriga oʻsib kirganligiga bogʻliq boʻladi. Xarsillash oʻrtacha 50% bemorda uchraydi va uning asosiy sababchisi katta venalar, bronx va traxeyani oʻsma tomonidan ezilishi hisoblanadi. Keyinchalik oʻsma katta bronxga oʻsib kirgan vaqtda yo'tal, qon tuflash kuzatiladi va kasallikning manzarasi markaziy saratonnikiga oʻxshash boʻlib qoladi. Sirtqi saratonning Pen kosta shaklida oʻsma oʻpka choʻqqisidagi plevradan oʻtib, yelkadagi nerv bogʻlami, boʻyin umurtqalari, qovurgʻalar va simpatik nervga oʻsib kiradi. Shu sababli bemorda shikastlangan tomonida sezuvchanlik oʻzgaradi, muskullar atrofiyasi va Gorner sindromi yuzaga keladi.
- Atipik shakli — Ayrim xollarda oʻpka saratoni mavjud usullar bilan aniqlanmasdan, koʻks oraligʻidagi limfa tugunchalariga koʻplab metastazlar beradi, bemorning yuzi va boʻyni shishib, koʻkrak teri osti venalari qalinlashadi, xarsillash kuzatiladi. Bu oʻpka saratonining mediastinal shakli hisoblanadi. Baʼzan oʻsma kichkina va koʻrinmas boʻlib, ikkala oʻpkaga mayda metastazlar bergan boʻladi. Bu oʻpkaning birlamchi karsinomatozi deb ataladi. Oʻpka saratonining xamma turida paraneoplastik sindromni kuzatish mumkin.
Tashxis
Oʻpka saratoniga tashxis qoʻyish uchun: Soʻrab-surishtirish, obyektiv tekshirish, labaratoriya tekshiruvlari, rentgenologik, sitologik, bronxiologik, gistologik, radionuklid va transtorakal punksiyadan foydalaniladi. Qon umumiy taxlil qilinganda eritrositlar choʻkish tezligining oshganligi, baʼzida uncha katta boʻlmagan leykotsitoz, kasallik juda kechikib aniqlanganda esa gipoxrom kamqonlik kuzatiladi. Rentgenologik tekshirish oʻpka saratoniga tashxis qoʻyishning asosiy usuli xisoblanadi. Buning uchun koʻkrak qafasi ikki proyeksiyada rentgenogafiya, rentgenoskopiya, tomografiya va zaruratga qarab bronxografiya qilinadi.
Davolash
Oʻsmalar 4 xil usulda davolanadi:
- Jarrohlik amaliyoti
- Kimyoterapiya
- Nurterapiya
- Immunoterapiya
Kimyoterapiya — bu usulni qoʻllashda bir necha preparatlarni komplek holida qoʻllash maqsadga muvofiq. Bugungi kunda Oʻzbekistonda kimyoterapiya preparatlaridan: siklofofsan, metotreksat, 5-ftoruratsil, vinkristin, sisplatina, etopozid, gidrea keng qoʻllanadi. Nurterapiya — bu amaliyot jarrohlik amaliyotidan oldin ham amaliyotdan keyin ham qoʻllanadi. Jarrohlik amaliyotini qisqa muddatda oʻtkazish talab etilsa xar kuni 4-5 greydan jami 20-25 grey doza berilib 1-3 haftadan keyin amaliyot oʻtkaziladi. Keyingi usulda xar kuni 2 greydan jami 40-45 grey doza berilib 3-4 haftadan keyin amaliyot oʻtkaziladi. Amaliyot oʻtkazilgach xar kuni 2 greydan 20-25 kun davomida 40-50 grey doza beriladi.
| Oʻsma bosqichi | TNM | Yassi xujayralar | Mayda xujayralar | Bezli va katta xujayrali |
|---|---|---|---|---|
| I | T1-2 N0 M0 | Lobektomiya, agar qarshi koʻrsatmalar boʻlsa radikal nur terapiya | Lobektomiya va kimyoterapiya agar qarshi koʻrsatmalar boʻlsa nur va kimyoterapiya | Lobektomiya, agar qarshi koʻrsatmalar boʻlsa radikal nurterapiya |
| II | T1-2 N1 M0 | Lobektomiya, bronxoplastika nur va kimyoterapiya agar qarshi koʻrsatmalar boʻlsa radikal nur va kimyoterapiya | Lobektomiya va kimyoterapiya agar qarshi koʻrsatmalar boʻlsa radikal kimyo va nurterapiya | Lobektomiya nur yoki kimyoterapiya agar qarshi koʻrsatmalar boʻlsa radika kimyo va nurterapiya |
| III | T1-4 N1.3 M0 | Nurterapiya va pnevmoektomiya keyin kimyo va immunoterapiya. Agar qarshi koʻrsatmalar boʻlsa radikal kimyo va nurterapiya | Radikal nur va kimyoterapiya, baʼzida bulardan keyin jarrohlik amaliyoti va qoʻshimcha nurterapiya hamda kimyoterapiya oʻtkaziladi. | Nurterapiya va pnevmoektomiya keyin kimyo va immunoterapiya. Yuqori differensiyalashgan oʻsmalardan oldin jarrohlik amaliyoti va kimyoterapiya oʻtkaziladi. |
| IV | T1-4 N1-3 M1 | Nur hamda kimyoterapiya. Palliativ va simptomatik choralar. | Nur va kimyoterapiya. Palliativ va simptomatik choralar. | Nur va kimyoterapiya. Palliativ va simptomatik davo. |
| Bosqichlari | Jarrohlik usuli | Nur terapiyasi | Jarrohlik va nurterapiyasi | Jarrohlik va kimyoterapiyasi |
|---|---|---|---|---|
| I II III | 61.4—70.7 40.0—43.5 18.4—20.0 | 22.0—33.5 20.0—33.3 6.0—6.3 | — 45,0—49,2 28,0—35,8 | — 41,0—43,0 15,0—20,0 |
Epidemiologiya
Dunyo boʻylab oʻpka saratoni saratonlarning eng koʻp tarqalgan turi hisoblanib saratondan vujudga keladigan oʻlimlarning asosiy qismi shu oʻpka saratonoiga toʻgʻri keladi. 2020-yilda 2,2 millionta yangi holat aniqlangan va 1,8 million nafar odam oʻpka saratonidan vafot etgan, bu barcha saraton tufayli oʻlimlarining 18 foizini tashkil qiladi. Oʻpka saratonidan oʻlim soni 2035-yilga kelib yiliga qariyb 3 million nafarga yetishi kutilmoqda. Oʻpka saratoni bilan kasallanish geografiya va jinsga qarab keskin farq qiladi, eng yuqori koʻrsatkichlar Mikroneziya, Polineziya, Yevropa, Osiyo va Shimoliy Amerikada; eng past koʻrsatkichlar Afrika va Markaziy Amerikaga tegishli. Global miqyosda erkaklarning taxminan 8% va ayollarning 6% hayotlari davomida oʻpka saratoniga chalinishadi. Biroq, erkaklar va ayollardagi oʻpka saratoni holatlarining nisbati geografiyaga qarab keskin farq qiladi. Belarusiyada taxminan 12:1, Braziliyada esa 1:1 gacha. Amerika Qoʻshma Shtatlarida oʻpka saratoni 1990-yildagi eng yuqori choʻqqidan oʻlim darajasi deyarli 50% ga kamayganboʻlsada, oʻlimning eng keng tarqalgan sababi saraton boʻlib qolmoqda. Oʻpka saratoni Buyuk Britaniyada uchinchi eng keng tarqalgan saraton (2017-yilda 47 968 kishiga kasallik tashxisi qoʻyilgan) turi va saraton bilan bogʻliq oʻlimning eng yuqori koʻrsatkichini koʻrsatgan (2018-yilda taxminan 34 600 kishi vafot etgan).
