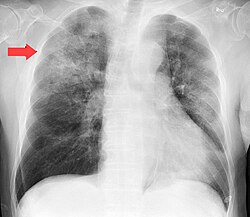
Zotiljam yoki pnevmoniya — oʻpka yalligʻlanishi, oʻpkaning infeksion kasalligi, mustaqil kasallik yoki boshqa kasalliklarning asorati hisoblanadi. Pnevmoniyani turli bakteriyalar (pnevmokokk, streptokokk, stafilokokklar) va viruslar qoʻzgʻatadi. Kasallikning yuzaga kelishi va rivojlanishiga odamning qattiq sovuq qotishi, jismoniy va ruhiy oʻta toliqishi, organizmning ichki zaharlanishi — intoksikatsiya hamda organizmning kasallikka qarshi kurashish qobiliyatini susaytiruvchi boshqa omillar sabab boʻladi, natijada yuqori nafas yoʻllariga mikroblar oʻtkir va surunkali, joyiga qarab chegaralangan sohalardagi yoki pnevmoniya (oʻpkaning butun bir boʻlagi zararlanadi) va oʻchoqli bronxopnevmoniya farq qilinadi.

Krupoz pnevmoniyani pnevmokokklar qoʻzgʻatadi. Mikroblardan tashqari organizmni kasallikka moyil qilib qoʻyuvchi baʼzi omillar (masalan, shamollash) ham taʼsir etgandagina zotiljam paydo boʻladi. Shuning uchun krupoz pnevmoniya qishda koʻproq uchraydi. Ichkilikka mukkasidan ketgan kishilar (alkogoliklar) Zotiljamga koʻproq moyil boʻladi. Krupoz pnevmoniya, odatda, toʻsatdan boshlanadi: temperatura birdan 39,5—40° gacha koʻtariladi, bemor qattiq qaltiraydi, tez-tez yoʻtaladi, biqini, koʻkragi ogʻriydi, nafas olganda, yoʻtalganda va aksa urganida ogʻriq (sanchiq) kuchayadi. Sababi shuki, oʻpkaning yalligʻlangan boʻlagini qoplagan plevra ham yalligʻlangan boʻlishi mumkin. Bemor tez-tez, yuza nafas oladi (hansiraydi), lunji qizaradi. Labi, burun kataklarining atrofiga uchuq toshadi, oʻtkir yurak-tomir yetishmovchiligi kuzatiladi, bemorning ahvoli ogʻirlashadi. Goʻdaklarda, ayniqsa, nimjon, chala tugʻilgan, raxit, anemiya, gipotrofiya bilan ogʻrigan bolalarda zotiljam juda ogʻir kechishi, agar oʻz vaqtida tibbiy yordam koʻrsatilmasa, koʻpincha salbiy oqibatlarga sabab boʻlishi mumkin.
Sulfanilamid preparatlari va antibiotiklar kashf etilguncha zotiljam (ayniqsa bolalar va keksalarda) ogʻir oʻtib, koʻpincha oʻlimga olib kelar edi. Zamonaviy davolash usullari qoʻllanila boshlagach, kasallik uzoqqa choʻzilmay bemor tez tuzaladigan boʻldi. Zotiljamdan oʻlish deyarli hamisha vrachga kech murojaat qilishda oʻz vaqtida toʻgʻri davolanmaslik oqibati hisoblanadi.
Davosi
Kasallik zoʻriqib ketgan boʻlsa, bemor kasalxonada davolanadi. Bemorni toʻgʻri parvarish qilishning, shuningdek, antibiotiklardan toʻgʻri foydalanishning ahamiyati katta. Salqin, toza havo uyquni va nafas olishni yaxshilaydi, shuning uchun bemor yotgan xonani tez-tez shamollatib turish muhim. Ichimlik (choy, meva suvi), suyuq ovqat (shoʻrva, ilitilgan tuxum, shirguruch, sut, sariyogʻ, qatiq, kefir, kisel va hokazo) tez-tez berib turiladi. Bemor terlaganda quruq sochiq, aroq yoki teng baravar suv qoʻshilgan odekolon bilan artiladi. Ichi yurishishiga, siydigi kelishiga qarab turish zarur. Yurak-tomir sistemasi yaxshi ishlamaganda uning faoliyatini kuchaytiruvchi dorilar buyuriladi, kisloroddan nafas oldiriladi va hokazo Orqaga gorchichnik qoʻyiladi, yurak-tomir faoliyatini yaxshilovchi (masalan, korglyukon, strofantin) va balgʻam koʻchiruvchi dorilar tavsiya etiladi va boshqalar. Harsillash paydo boʻlsa, bemorning boshini balandroq qilib yotqizib qoʻyish kerak. Bemor gigiyenik rejimga rioya qilishi, ochiq havoda sayr etishi, davo gimnastikasi bilan shugʻullanishi lozim. Kasallikning oldini olish, asosan, organizmning umumiy holatini yaxshilashga (chiniqish, badan tarbiya va boshqalar), yomon odatlar (chekish, spirtli ichimliklar ichish)ni tark etishga, infeksiya manbalarini yoʻqotishga va turmush sharoitini yaxshilashga qaratilishi lozim.
Adabiyotlar
- Shamsiyev A. M., Ostrie destruktivnie pnevmonii u detey, T., 1966;
- Ubaydullayev A. M., Ginzburg V. S, Klinikada oʻpka funksiyasini tekshirish, T., 1991.